S E O U L B R I G H T E Y E C E N T E R
망막·녹내장
S E O U L B R I G H T E Y E C E N T E R
당뇨망막병증
당뇨가 생기면 가장 먼저 침범되는 곳이 눈입니다.
눈 침범 이후에 다른 장기로의 진행이 가능하기 때문에 눈 검사가 필수입니다.
서울브라이트안과에서 검진받으세요.
S E O U L B R I G H T E Y E C E N T E R
당뇨망막병증
당뇨가 생기면 가장 먼저 침범되는곳이 눈입니다.
눈 침범 이후에 다른 장기로의 진행이
가능하기 때문에 눈 검사가 필수입니다.
서울브라이트안과에서 검진받으세요.
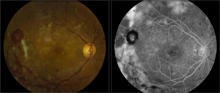
당뇨망막병증이란?
당뇨의 눈 합병증으로, 대표적인 것은
당뇨망막병증, 백내장, 녹내장 등이 있습니다.
당뇨망막병증은 당뇨병 환자에서
지속적인 고혈당으로 망막 혈관의
손상이 일어나는 병입니다.
망막의 미세혈관이 막히거나,
터져 유리체출혈이 생기거나,
누출이 되어 황반부종이 생길 수 있습니다.
당뇨망막병증은 진행에 따라
비증식과 증식으로 나뉘며,
신생혈관이 자라난 증식의 경우
유리체출혈, 견인망막박리가 생겨
실명에 이르기도 합니다.
당뇨병의 유병기간이 길수록, 당뇨병이 심할수록 당뇨망막병증이 잘 발생하게 됩니다.
당뇨망막병증이란?
당뇨의 눈 합병증으로, 대표적인 것은 당뇨망막병증, 백내장, 녹내장 등이 있습니다.
당뇨망막병증은 당뇨병 환자에서 지속적인 고혈당으로
망막 혈관의 손상이 일어나는 병입니다.
망막의 미세혈관이 막히거나, 터져 유리체출혈이 생기거나,
누출이 되어 황반부종이 생길 수 있습니다.
당뇨망막병증은 진행에 따라 비증식과 증식으로 나뉘며,
신생혈관이 자라난 증식의 경우 유리체출혈, 견인망막박리가 생겨
실명에 이르기도 합니다.
당뇨병의 유병기간이 길수록, 당뇨병이 심할수록 당뇨망막병증이 잘 발생하게 됩니다.
당뇨망막병증 증상
당뇨망막병증은 초기엔 무증상이 대부분입니다.
따라서 증상이 발생하기 전에
주기적인 망막검진이 필요합니다.
하지만, 일부의 경우
다음과 같은 증상이 가능합니다.
당뇨망막병증 증상
당뇨망막병증은 초기엔 무증상이 대부분입니다.
따라서 증상이 발생하기 전에 주기적인 망막검진이 필요합니다.
하지만, 일부의 경우 다음과 같은 증상이 가능합니다.
당뇨망막병증 진단
당뇨병을 진단받은 경우에는
적어도 1년에 한 번 이상 망막 검진이 필요합니다.
안과전문의와 상의해 정기적으로 검사를 받고
진행 정도에 따라 단계에 맞는
치료를 받으셔야 합니다.
당뇨망막병증 진단
당뇨병을 진단받은 경우에는 적어도 1년에 한 번 이상 망막 검진이 필요합니다.
안과전문의와 상의해 정기적으로 검사를 받고 진행 정도에 따라 단계에 맞는 치료를 받으셔야 합니다.
당뇨망막병증
예방 및 관리
혈당, 혈압 및 콜레스테롤 수치 조절
처방대로 당뇨병 약을 꾸준히 복용
(적당한 당수치 유지)
적정한 체중 유지, 건강하고 균형잡힌 식사,
규칙적인 운동 및 금연
당뇨망막병증 진단
당뇨망막병증의 진행상태 및
황반부종의 유무에 따라 다음과 같은 치료가
적절한 시기에 이루어져야 합니다.
범망막 레이저 광응고술
당뇨망막병증의 진행을 막기 위하여
망막의 주변부에 레이저치료를 하는 방법입니다.
동공을 키우는 약을 사용한 뒤에
눈에 안약 마취를 하고 특수 렌즈를 이용하여
레이저 치료를 시행하게 됩니다.
망막주사
눈 속에 직접 주사를 이용하여
약을 주입하는 방법입니다.
이 치료법은 당뇨망막병증에서
효과적으로 비정상 혈관(신생혈관)의 발생을
억제하고 당뇨황반부종을 감소시킬 수 있습니다.
서울브라이트안과에서는 다양한 주사를
환자 개개인의 상태에 맞게
선택하여 사용하고 있습니다.
일반적으로 한 번의 주사로
완전히 치료되는 경우는 드물며,
반복적인 주사 치료가 필요합니다.
국소 레이저 광응고술
망막 주사가 보편화된 이후
시행되는 경우가 적으나,
당뇨병성 황반부종이 난치성이고
비정상 혈관이 국소적인 특별한 경우
해당 부분에 국소레이저 광응고술을 합니다.
당뇨망막병증 예방 및 관리
당뇨망막병증 진단
당뇨망막병증의 진행상태 및 황반부종의 유무에 따라 다음과 같은 치료가 적절한 시기에 이루어져야 합니다.
범망막 레이저 광응고술
당뇨망막병증의 진행을 막기 위하여 망막의
주변부에 레이저치료를 하는 방법입니다.
동공을 키우는 약을 사용한 뒤에
눈에 안약 마취를 하고 특수 렌즈를 이용하여
레이저 치료를 시행하게 됩니다.
망막주사
눈 속에 직접 주사를 이용하여
약을 주입하는 방법입니다.
이 치료법은 당뇨망막병증에서 효과적으로
비정상 혈관(신생혈관)의 발생을 억제하고
당뇨황반부종을 감소시킬 수 있습니다.
서울브라이트안과에서는
다양한 주사를 환자 개개인의 상태에 맞게
선택하여 사용하고 있습니다.
일반적으로 한 번의 주사로
완전히 치료되는 경우는 드물며,
반복적인 주사 치료가 필요합니다.
국소 레이저 광응고술
망막 주사가 보편화된 이후 시행되는 경우가 적으나,
당뇨병성 황반부종이 난치성이고
비정상 혈관이 국소적인 특별한 경우
해당 부분에 국소레이저 광응고술을 합니다.